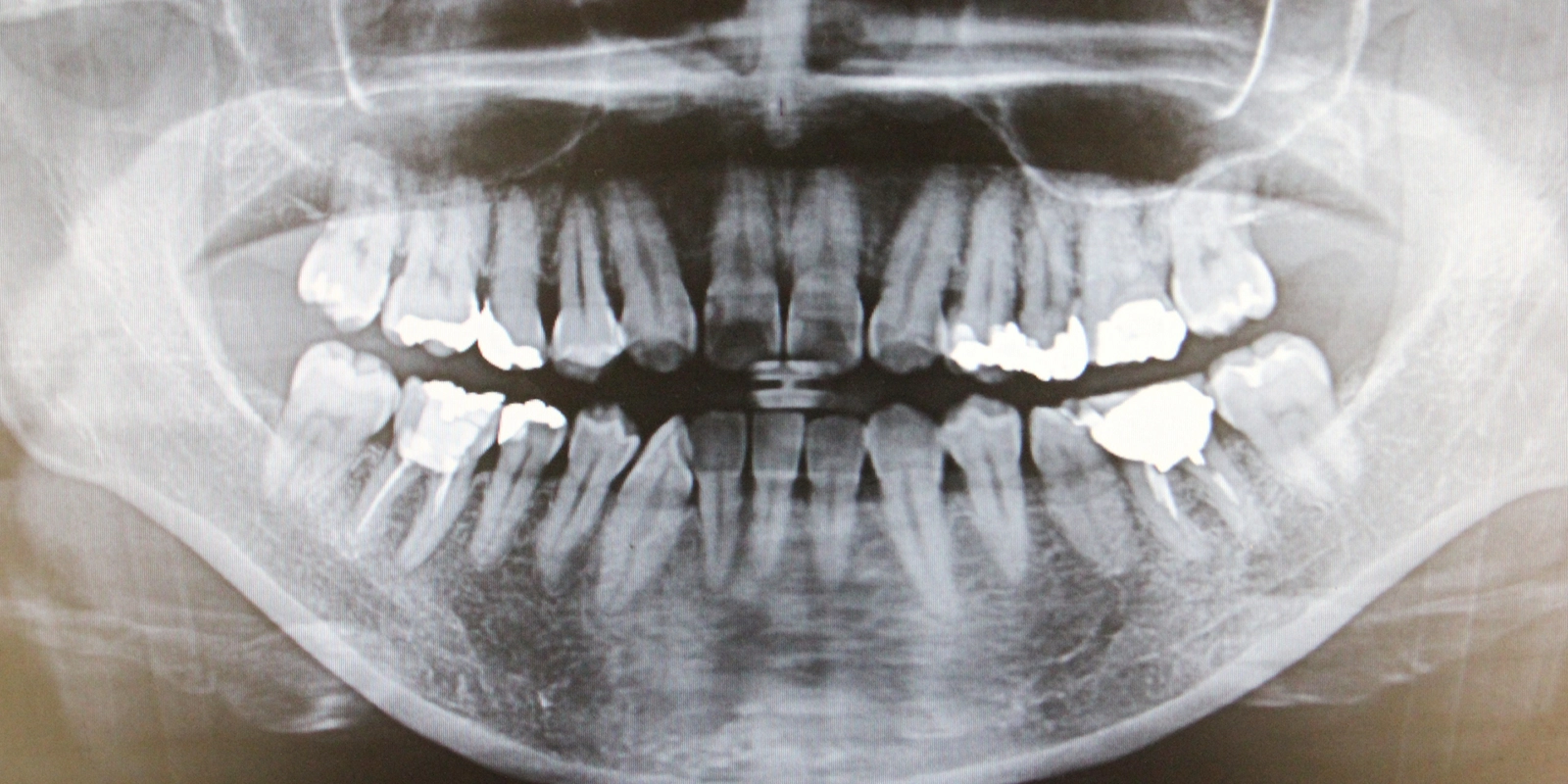
「パノラマレントゲン」は、上下の歯全体と顎の骨を一枚の画像で撮影する方法です。
全体的な状態を把握するには有用ですが、個々の歯の詳細を見るには解像度が十分ではありません。そのため、歯根破折の疑いがある場合は、パノラマレントゲンで全体像を把握した後、デンタルレントゲンで詳しく確認するという流れが一般的です。
医療法人社団 誠慎会|峯歯科 高輪松ケ丘
歯の根にヒビが入る「歯根破折」は、歯科治療の中でも診断が難しい疾患の一つです。なぜなら、歯根破折の多くは歯茎の下の見えない部分で起きており、目視だけでは発見できないからです。
適切な診断には、レントゲンやCT検査といった画像検査が不可欠となります。本記事では、歯根破折の診断方法について、各検査の特徴と限界を含めて解説します。
歯根破折の診断が困難な理由は、その発生部位と破折の方向性にあります。歯の根は歯茎や顎の骨に覆われているため、表面から直接観察することができません。また、破折の多くは「垂直性破折」と呼ばれる縦方向のヒビであり、この方向の破折はレントゲン撮影の角度によっては写らないことがあります。
さらに、歯根破折の初期症状は他の歯科疾患と似ているため、症状だけでは判断できません。噛んだときの痛み、歯茎の腫れ、膿が出るといった症状は、歯周病や根の先端の炎症(根尖性歯周炎)でも見られます。そのため、画像検査を含めた総合的な診断が必要となるのです。
「パノラマレントゲン」は、上下の歯全体と顎の骨を一枚の画像で撮影する方法です。
全体的な状態を把握するには有用ですが、個々の歯の詳細を見るには解像度が十分ではありません。そのため、歯根破折の疑いがある場合は、パノラマレントゲンで全体像を把握した後、デンタルレントゲンで詳しく確認するという流れが一般的です。
パノラマレントゲンで全体像を確認した後に使用されるのが「デンタルレントゲン」です。これは1〜3本の歯を詳しく撮影する方法で、歯の根の形態や周囲の骨の状態を高解像度で確認できます。
レントゲンは二次元の画像であるため、破折線がX線と平行になっている場合は映りやすく、垂直方向の破折は比較的発見できます。
デンタルレントゲンには限界があります。破折線がX線の方向と垂直になっている場合、つまり破折が歯の前後方向に走っている場合は、画像に現れないことがあります。これは、二次元画像では奥行き方向の情報が得られないためです。そのため、複数の角度から撮影することで、破折を見逃すリスクを減らす工夫が行われます。
「CT検査(コンピュータ断層撮影)」は、三次元的に歯と周囲の組織を観察できる画像検査です。レントゲンが二次元画像であるのに対し、CTは立体的な情報を提供するため、あらゆる方向からの破折線を確認できます。特に歯科用CTは、医科用CTよりも高解像度で撮影できるため、微細な破折も発見しやすくなります。
CTでは、破折線だけでなく、破折によって生じた周囲の骨の吸収(骨が溶けること)も詳しく評価できます。歯根破折が起きると、破折部から細菌が侵入し、周囲の骨に炎症が広がります。この骨の変化をCTで確認することで、破折の程度や治療の必要性を正確に判断できるのです。
すべての症例でCT検査が必要なわけではありません。レントゲンで明らかな破折が確認できる場合や、症状が軽微な場合は、まずレントゲン検査から始めます。しかし、以下のような状況ではCT検査が推奨されます。
CT検査は被曝量がレントゲンより多いため、必要性を考慮して実施されます。
画像検査以外にも、「マイクロスコープ(歯科用顕微鏡)」を使った直接観察が有効です。
マイクロスコープは歯を数倍から数十倍に拡大して観察できるため、歯の表面に現れた微細な破折線を発見できることがあります。特に、歯の内部(根管)から観察することで、通常では見えない破折を確認できる場合があります。
破折線を視覚化するために、「染色液」を使用することもあります。これは、破折部に浸透しやすい色素を含んだ液体を歯に塗布し、破折線を着色させる方法です。
マイクロスコープと併用することで、診断精度が向上します。ただし、この方法は歯の内部にアクセスできる場合に限られるため、すべての症例で使えるわけではありません。
歯根破折の診断は、単一の検査だけでなく、複数の検査結果と臨床症状を総合して行われます。患者さんが感じる痛みのパターン、歯茎の状態、噛み合わせの変化なども重要な診断材料となります。経験豊富な歯科医師は、これらの情報を組み合わせることで、より正確な診断を下すことができるのです。
歯根破折の診断は、現代の歯科医療技術の進歩により、以前より正確に行えるようになっています。適切な診断があってこそ、最適な治療方針を決定できます。気になる症状がある場合は、早めに歯科医院を受診し、必要な検査を受けることをお勧めします。
ご予約はこちら歯根破折とは歯の根っこにヒビが入った状態で、原因は事故やケガなどの外部要因も考えられますが、一番多いのは虫歯治療で歯を削り歯が脆くなっていったから、です。
歯根破折を詳しく知る
接着治療とは、割れてしまった歯に対して歯科用接着剤を用いて歯を接着し、再びご自身の歯でものを噛むことを可能にする「人と歯に優しい治療方法」です。
接着治療を詳しく見る
歯根破折を起こした歯は通常抜歯するのが一般的でした。
しかし、当院は口腔内接着法もしくは口腔外接着再植法の方法を用いてご自身の歯を残すことができる場合があります。

噛むときにズキンとした痛みがある、こうした症状に心当たりはありませんか?
もしかしたら歯の根にひびがあり、抜歯しないといけないかもしれません。

適切な診断には、レントゲンやCT検査といった画像検査が不可欠となります。
歯根破折の診断方法について、各検査の特徴と限界を含めて解説します。

歯根破折の治療における痛みや術後の過ごし方、そして治療の成功率など、皆様がよく気にされる内容をQ&A形式で回答しています。
骨造成に関する質問集